Cosmetic Dental Fillings
Receive the Smile You Want and Deserve
Adler Dental does all forms of cosmetic dentistry with the option of the less expensive acrylic veneers for anterior teeth versus porcelain. Dr. Adler has worked several years performing cosmetic dentistry with many happy patients.
Cosmetic Services
- Invisalign (clear braces)
- Porcelain veneers
- Porcelain crowns and bridges
- Tooth-colored bonding fillings
- Teeth whitening
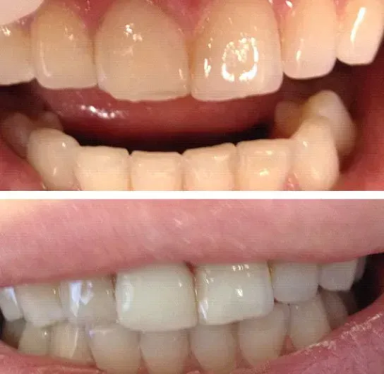
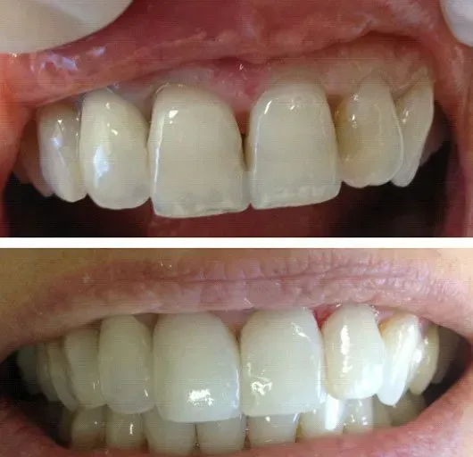
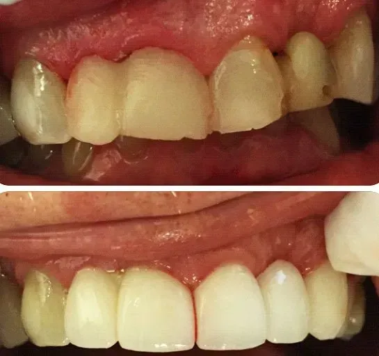
Cosmetic Fillings
Here is our gallery of before and after shots of successful cosmetic dental fillings.











Share On: